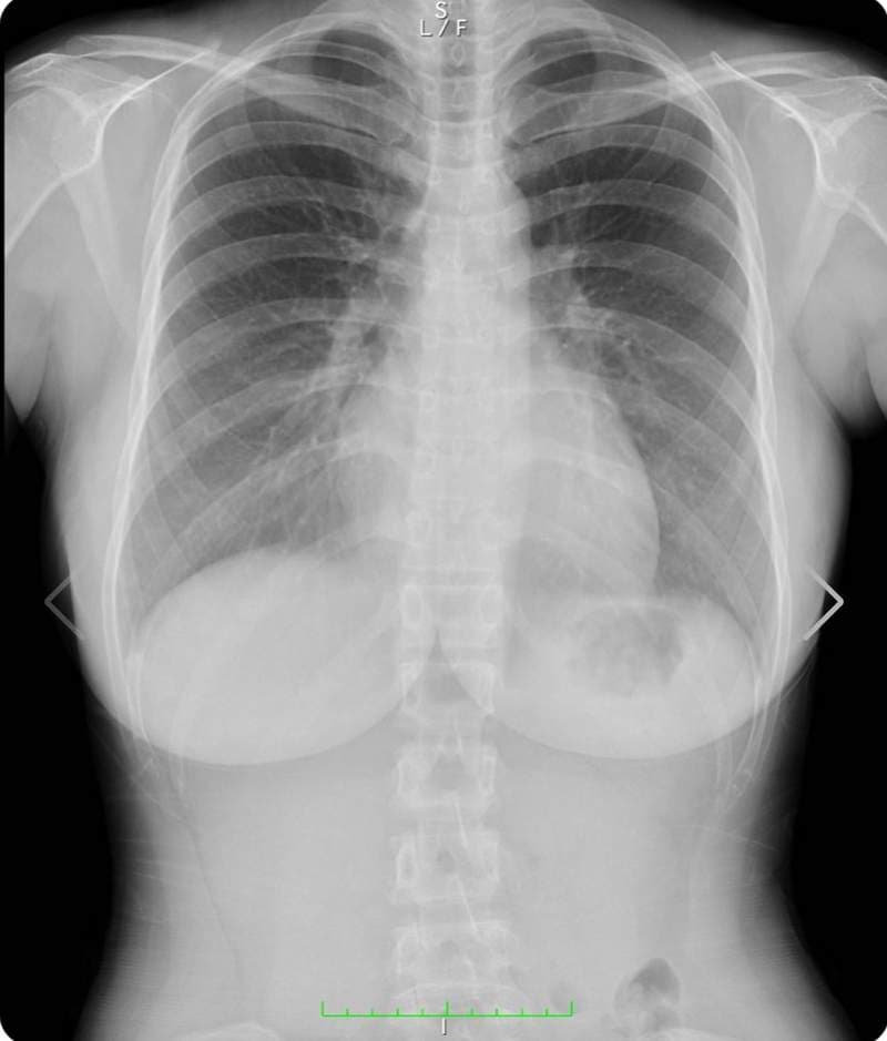
上空X光照《天木纯/天木じゅん》体检身体健康而且欧派也是纯天然
| 比基尼美女陪玩百家 | OP Game波胆美女搞一手 |
| 撸一发试玩赚彩金 | 真实互动成人游戏 |

虽然因为疫情的关系许多公共场所还没完全开放,但是应该有不少喜欢去健身房运动的朋友感到手痒了吧!?是不是很想抓抓哑铃或是各种器材,或是遇到有状况或问题的妹妹,很想要伸出援手帮她们一把(红牌警告),今天跟大家分享的女主角「天木纯/天木じゅん」,如果有一个这样的爆乳正妹需要帮助,我想有经验的大家应该都会很热心的前去帮忙吧XD

虽然阿漆不是健身房的常客,但如果遇到状况还是请现场人员过来看看,自己如果察觉有异样也要赶紧停下手边的运动,毕竟原本就是要去运动为了健康,如果受伤那不就本末倒置了吗= =

其实今天不是要跟大家爆料哪个健身房天木纯在那边出没,会有这样热心助人的画面,其实是日剧「离婚活动」第一集某一段的画面,这是由北川景子与永山瑛太主演的连续剧,通常一般的日剧都是从第一集到最后一集谈恋爱修成正果,但这部剧头五分钟两人就相识相爱然后结婚,之后的发展也相当劲爆,蛮推荐大家找来看看的喔



相信有在看阿漆PO妹文的朋友应该不陌生,天木纯是阿漆很早之前就曾分享过的妹,25岁的她已经出道五年了!她的特色就是非常的小只马(149公分),但有著日规I罩杯级的巨舰豪乳,这样的反差让她在写真界一直都有著不错的成绩,偶尔也会上上综艺节目跟拍拍日剧的她,虽然在这方面表现还没到特别突出,但也许...就差一个机会跟爆点而已吧?
至于今天开头跟大家分享的上空X光照,大家千万不要觉得阿漆又要唬烂骗点阅,实际上她在最近真的有公开自己的X光照片,其实她在之前8月的时候曾确诊新冠肺炎,休养一个月之后康复已经完全健康,现在做个体检也是确认不要有后遗症
另外之前有网友曾质疑她胸部作假,这么大肯定不是天然的胸部,而这次在社群媒体上公开自己的体检结果,也间接打脸掉这个说法,她的胸部没有任何填充物,而右胸上小小的黑点是胃泡,所以整体检查结果下来是很OK的




